Metamorphoses of teeth Gliwice

Cosmetic dentistry

Modern technology allows any smile imperfections to be corrected discreetly, in a way that is healthy and safe for the patient. Discover a new beauty in your smile. Even a small change in the shape of your teeth can make you look younger and more confident. At the Smile Gallery, we offer whitening and camouflage treatments to help you regain a beautiful and radiant smile. Choose the method that best suits your needs and enjoy the results in just a few visits. Contact us to find out more.

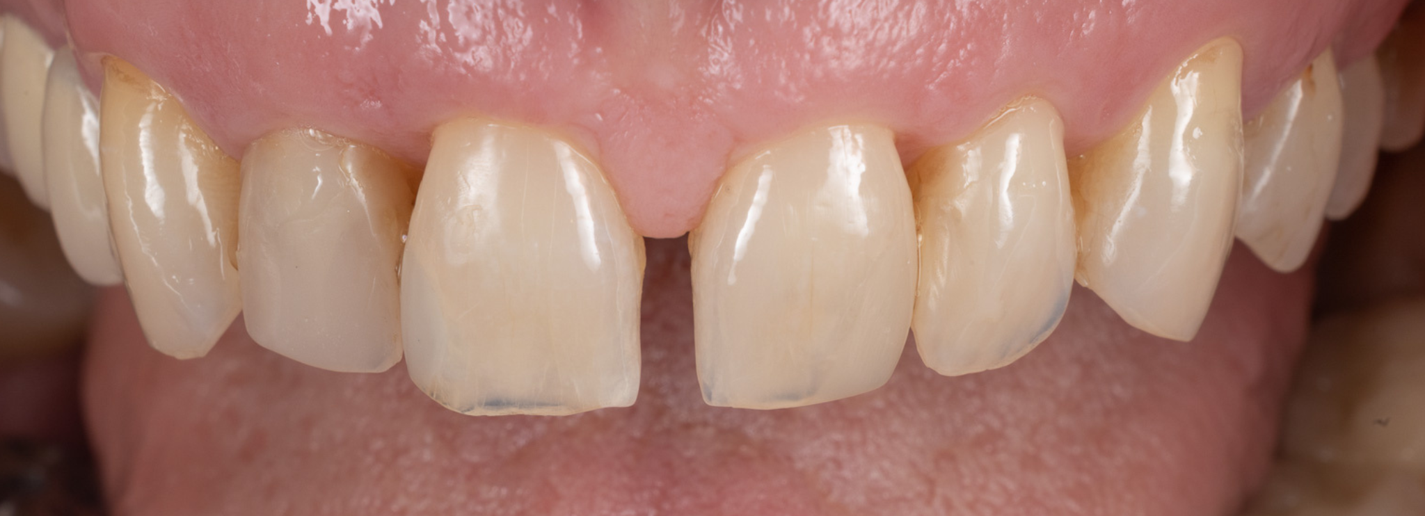
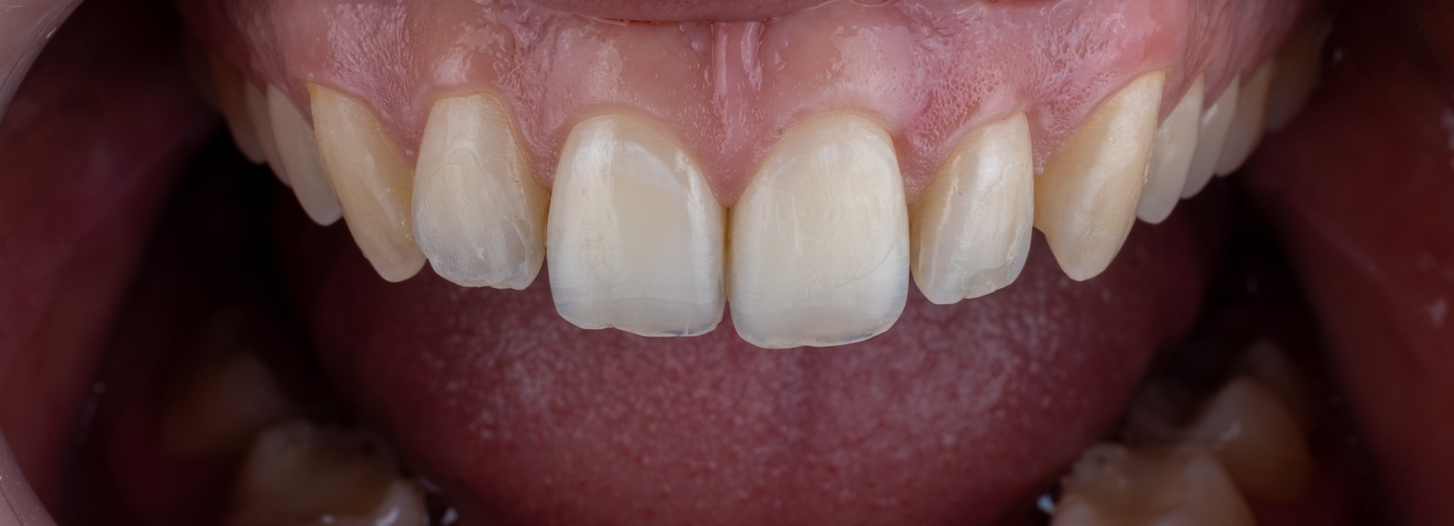
Metamorphosis 1

BEFORE AFTER

Cosmetic teeth restoration in the anterior section using bonding.

Metamorphosis 2

BEFORE AFTER

Closing diastemas and improving the colour and shape of teeth with all-ceramic veneers.

Metamorphosis 3

BEFORE AFTER

A new, beautiful and white smile of a patient who had full-ceramic veneers done.

Metamorphosis 4

BEFORE AFTER

Improving the colour and shape of teeth in the upper and lower arch with all-ceramic veneers.

Metamorphosis 5

BEFORE AFTER

Cosmetic teeth restoration in the upper arch using all-ceramic veneers.

Metamorphosis 6

BEFORE AFTER

A patient with the problem of the so-called microteeth, where the teeth in the upper arch were esthetically improved with the use of full-ceramic veneers.

Metamorphosis 7

BEFORE AFTER

Correction of gums and improvement of the colour and shape of teeth with use of all-ceramic veneers.

Metamorphosis 8

BEFORE AFTER

Aesthetic improvement in the upper arch with all-ceramic veneers.

Kontakt