Cosmetic dentistry Nowy Sącz

A visibly more beautiful smile

Are you not completely satisfied with the appearance of your teeth? Come to our dental care centre!

At the Smile Gallery in Nowy Sącz, we have the right team of specialists and tools to ensure that every patient who wants to take care of their teeth aesthetics can leave our office with a wide and spectacular smile. Extensive technological facilities, medical care and a wide range of aesthetic dentistry procedures will make your teeth beautiful and healthy!

Why take advantage of cosmetic dentistry treatments at the Galeria Uśmiechu?

We have prepared a comprehensive offer for our patients. The aim of the treatments, regardless of their type, remains the same - to ensure health and a beautiful, almost Hollywood-like smile. Our team of specialists will find the optimal method for you!

Smile!

Discoloration, crooked teeth or cavities are a real problem not only because of aesthetics. Spontaneity disappears, fear of others' opinion appears. Take advantage of professional treatment and go through life with a wide smile!

Specialists know how to take care of the patient

Our office employs dentists with different specialties. The Smile Nowy Sącz Centre provides its patients with comprehensive care and maximum lasting effects of the treatments carried out.

Health and safety

All treatments are carried out according to strict procedures. We work with modern equipment and top-quality materials. In each case, we develop an individual plan of subsequent treatments that will bring the teeth to perfect condition.

Cosmetic dentistry - treatments at the Galeria Uśmiechu Nowy Sącz

Health first, and then beautiful appearance of teeth - this is one of the iron rules followed by cosmetic dentistry.

First, we get to know the condition of the teeth and the patient himself – starting with health issues, and ending with expectations towards the teeth appearance. In some cases, the effects will be visible already after the first visit, in others a whole series of treatments and a treatment process planned for several months may be necessary. It all starts with examinations and consultations, which result in a comprehensive treatment plan.

Teeth whitening

Whitening options carried out at Galeria Uśmiechu in Nowy Sącz

The patient receives special dental trays, prepared based on a scan of the inside of the mouth and the impression taken. Before application, they must be soaked in a special gel (or other whitening preparation). The overlays wear duration and frequency of subsequent applications will be determined by the dentist.

It not only changes the colour of the teeth, but also restores the enamel. It requires, among others use of a special toothpaste, irradiation with a special lamp and later wearing of whitening trays at home. A cosmetic dentistry specialist will determine how long and how often they will need to be worn to achieve the expected results.

Bonding - camouflage treatment. Cosmetic dentistry and tooth structure restoration

Camouflage treatment is a minimally invasive procedure, perfect for all types of chipping, chipping and similar damage to the surface of the teeth. The reconstruction process with the use of properly selected composites is accompanied by reduction of discoloration and gentle whitening. Bonding is performed for patients with full dentition and no malocclusion. A more advanced method from this category is Flow Injection - it enables a complete metamorphosis of teeth during one visit. The injection of a special composite allows, among other things, to:
reshape teeth;
improve tooth colour;
remove gaps between teeth (diastema).

Metamorphosis

See our patients metamorphoses

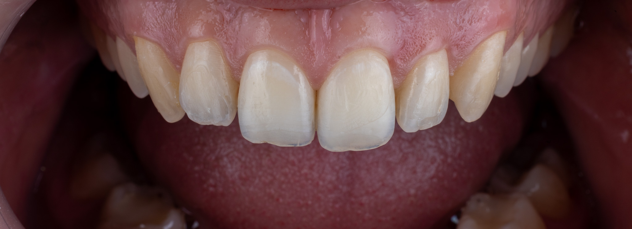
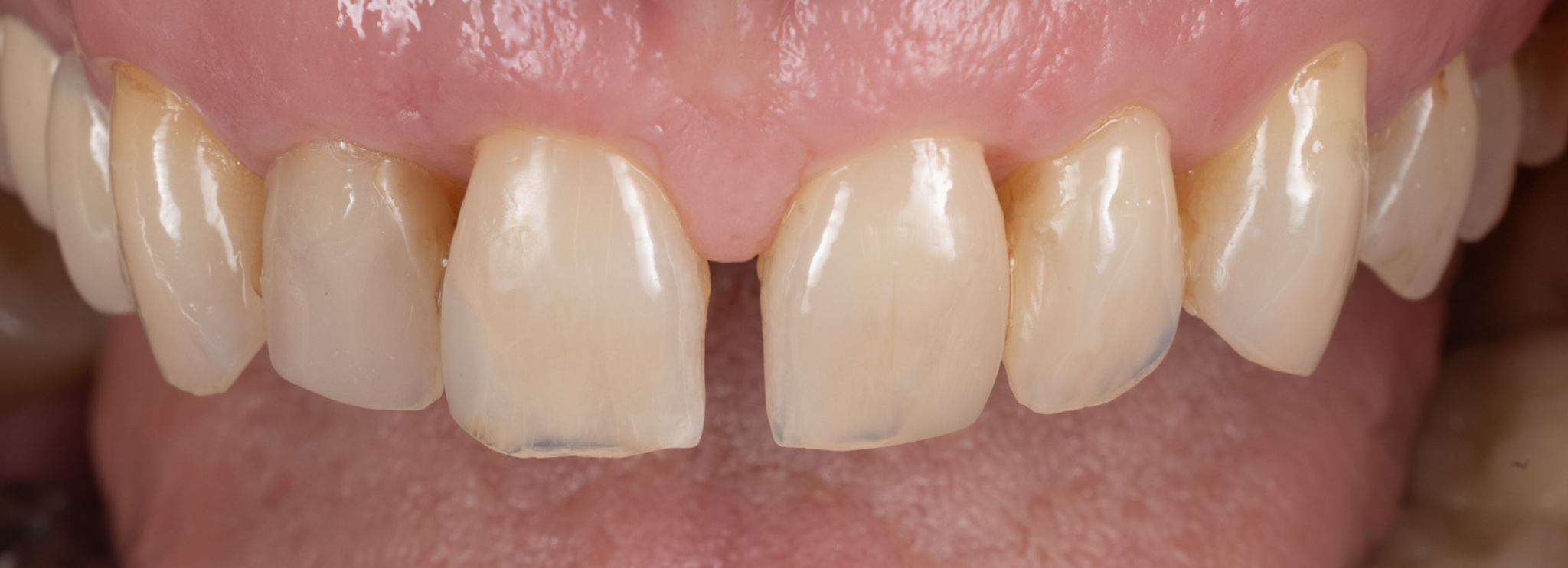
Metamorphosis 1

BEFORE AFTER

Cosmetic teeth restoration in the anterior section using bonding.

Metamorphosis 2

BEFORE AFTER

Closing diastemas and improving the colour and shape of teeth with all-ceramic veneers.

Metamorphosis 3

BEFORE AFTER

A new, beautiful and white smile of a patient who had full-ceramic veneers done.

Metamorphosis 4

BEFORE AFTER

Improving the colour and shape of teeth in the upper and lower arch with all-ceramic veneers.

Metamorphosis 5

BEFORE AFTER

Cosmetic teeth restoration in the upper arch using all-ceramic veneers.

Metamorphosis 6

BEFORE AFTER

A patient with the problem of the so-called microteeth, where the teeth in the upper arch were esthetically improved with the use of full-ceramic veneers.

Metamorphosis 7

BEFORE AFTER

Correction of gums and improvement of the colour and shape of teeth with use of all-ceramic veneers.

Metamorphosis 8

BEFORE AFTER

Aesthetic improvement in the upper arch with all-ceramic veneers.

Wybielanie zębów – na czym polega? Metody i zastosowanie

Picie kawy i herbaty, a także palenie papierosów przyczyniają się do powstawania nieestetycznych przebarwień. Są one niemożliwe do usunięcia w domu, dlatego w Galerii Uśmiechu oferujemy wybielanie zębów sprawdzonymi metodami, które przywracają biel zębów. Dowiedz się o nim więcej i przekonaj się, że śnieżnobiały uśmiech nie jest trudny do osiągnięcia!

CZYTAJ WIĘCEJ »

Czym jest bonding zębów i komu jest polecany?

Wiele osób często nie zdaje sobie sprawy, jak szybko można uzyskać nieskazitelny, biały uśmiech. Jedną z metod jest bonding, czyli nieinwazyjny i bezpieczny zabieg z zakresu stomatologii estetycznej. Jak się go przeprowadza i na jakie efekty można liczyć?

CZYTAJ WIĘCEJ »

Onlay kompozytowy – kiedy się go stosuje?

Onlay kompozytowy to rodzaj wypełnienia, dzięki któremu można uzupełnić nawet bardzo duży ubytek. Stanowi nowoczesne rozwiązanie i daje estetyczny, a jednocześnie niemal niewidoczny efekt. Już teraz skontaktuj się z naszym centrum stomatologicznym, by umówić konsultację lekarską.

CZYTAJ WIĘCEJ »

Inlay kompozytowy – jakie ma zastosowanie

Współczesna stomatologia estetyczna dysponuje wieloma metodami naprawy uszkodzonych zębów. Jedną z nich jest inlay kompozytowy, czyli wypełnienie pomocne przy usuwaniu dużych ubytków. Ten sposób wykorzystujemy również w Galerii Uśmiechu. Czym jest i kto może na nim skorzystać?

CZYTAJ WIĘCEJ »

Cosmetic dentistry - specialists from the Galeria Uśmiechu in Nowy Sącz

We are a well-coordinated team that is guided above all by the patient's best interest. We guarantee full professionalism and comprehensive care. You no longer need to search for different cosmetic dentistry clinics. In our centre, you will find qualified specialists who continue to broaden their knowledge and gain experience. We welcome children, adults and seniors - we believe everyone deserves a beautiful smile!

img-19

Tomasz Rozwadowski

Implantology
Cosmetic dentistry
Prosthodontics
Digital Smile Design Specialist

img-22

Konrad Mordarski

Prosthetics
Implantoprosthetics
Cosmetic dentistry

img-25

Katarzyna Załęska

Digital dentistry
Cosmetic dentistry
Prosthetics
Implantoprosthetics

Price list

digital impression and digital models270 PLN
DSD individual smile design900 PLN
wax-up (1 arc)1 300 PLN
wax-up (2 arcs)2 400 PLN
bridges and crownsfrom 1400 PLN
veneersfrom 1300 PLN
bondingfrom 750 PLN

Enjoy the smile of your dreams!

Schedule a consultation

Kontakt