Dental Tourism Poland

Turystyka stomatologiczna w Krakowie

W klinice dentystycznej Galeria Uśmiechu oferujemy kompleksowe leczenie stomatologiczne dla Pacjentów z całej Europy. Naszym zagranicznym pacjentom zapewniamy usługi stomatologiczne najwyższej jakości, medyczną opiekę przed i po zabiegu, a także pomoc w organizacji przyjazdu do Polski.

Galeria Uśmiechu to trzy gabinety w miastach na południu Polski. Dzięki temu gwarantujemy dostęp do wybitnych specjalistów w swoich dziedzinach i pełnego zakresu leczenia. Tutaj możesz przeprowadzić kompletną metamorfozę stomatologiczną i cieszyć się zdrowym i pięknym uśmiechem.

Dental Travel Poland

Dlaczego warto?

Usługi premium w atrakcyjnych cenach

Leczenie stomatologiczne w Polsce jest znacznie bardziej ekonomiczne niż na zachodzie lub północy kontynentu, nawet uwzględniając koszty związane z podróżą i zakwaterowaniem. Poziom usług dentystycznych w Polsce jest za to porównywalny do innych europejskich krajów.

Najwyższa jakość leczenia, doświadczeni lekarze

Nasi lekarze posiadają długoletnie doświadczenie i są specjalistami w implantologii, protetyce i wielu innych dziedzinach stomatologii. Zapewniamy profesjonalne leczenie dentystyczne w Polsce, zgodne z najwyższymi światowymi standardami.

Innowacyjne technologie i kompleksowa opieka pacjenta

Nasze gabinety są wyposażone w nowoczesny sprzęt, dzięki któremu bezboleśnie i skutecznie przeprowadzimy leczenie stomatologiczne. Opiekun Pacjenta towarzyszy Ci na każdym jego etapie.

Dental Travel Poland

Jak zaplanować leczenie stomatologiczne w Polsce?

Krok 1
Skontaktuj się z nami

Skontaktuj się z nami telefonicznie lub mailowo i skonsultujemy następujące kwestie:

  1. usługę, z jakiej chciałbyś skorzystać w Galerii Uśmiechu podczas pobytu w Polsce wraz z oczekiwaniami dotyczącymi Twojej metamorfozy
  2. dokumentację medyczną, która pomoże nam zaplanować Twoją wizytę w naszej placówce (np. tomografia szczęki i żuchwy, skan 3D zębów, zdjęcie pantomograficzne, zdjęcia twarzy przodem, prawego i lewego profilu, zdjęcie uśmiechu).


Po przesłaniu do nas formularza kontaktowego skontaktuje się z Tobą dedykowany Opiekun Pacjenta, który przeprowadzi Cię przez wszystkie etapy leczenia stomatologicznego i będzie z Tobą w stałym kontakcie, aż do Twojego przylotu do Polski.

Krok 2
Zapoznaj się z planem leczenia

Prosimy o cierpliwość i oczekiwanie na naszą odpowiedź. Po dokładnej analizie dostarczonej przez Ciebie dokumentacji, nasi doświadczeni lekarze stomatolodzy przygotują wstępny plan leczenia dentystycznego w Polsce. Naszym celem jest oszczędzenie Twojego czasu i kosztów, dlatego plan leczenia zostanie przekazany Tobie drogą mailową lub podczas umówionej konsultacji/telekonsultacji z lekarzem.

W zależności od Twojego miejsca zamieszkania, istnieje także możliwość przeprowadzenia wstępnej diagnostyki za granicą.

Krok 3
Opiekun pacjenta pomoże w zaplanowaniu Twojej podróży

Po zaakceptowaniu przez Ciebie planu leczenia stomatologicznego, rozpoczynamy organizację podróży do jednej z klinik dentystycznych Galeria Uśmiechu. Jeśli planujesz leczenie w trakcie swojego urlopu w Polsce, pomożemy Ci znaleźć najlepsze połączenia lotnicze, a następnie dostosujemy terminy zabiegów, uwzględniając kilka dni rekonwalescencji.

Krok 4
Potwierdź termin podróży do Polski

Pomożemy Ci zarezerwować pobyt w hotelu, z którym współpracujemy, dzięki czemu skorzystasz z korzystnej ceny. Jeśli wolisz inne zakwaterowanie, również możemy pomóc w kwestiach organizacyjnych. Nie musisz się martwić o transport z i na lotnisko. Nasz anglojęzyczny Opiekun Pacjenta zadba o to, abyś został bezpiecznie odebrany z lotniska oraz żebyś spokojnie dotarł na miejsce na zakończenie podróży.

Krok 5
Ciesz się atrakcjami Krakowa

Korzystaj z wolnego czasu na odkrywanie uroków pięknych miejsc i zwiedzanie pobliskich atrakcji. Spędź niezapomniany czas w malowniczym regionie Polski, jakim jest Małopolska. Opiekun Pacjenta chętnie pomoże Ci w wyborze atrakcji turystycznych dla Ciebie i Twojej rodziny. Jeśli planujesz pobyt w Krakowie, również jesteśmy w stanie zorganizować program dostosowany do Twoich potrzeb.

Kompleksowe leczenie stomatologiczne w Galerii Uśmiechu

Jak wygląda opieka dla pacjentów spoza Polski?

Opracowanie planu leczenia

Chcemy jak najlepiej dostosować plan leczenia do Twoich potrzeb, dlatego potrzebujemy jak najwięcej informacji na temat Twojego stanu zdrowia. Prosimy o przesłanie do nas następujących dokumentów: tomografii szczęki i żuchwy, skanu 3D zębów, zdjęcia pantomograficznego oraz zdjęcia fotograficzne. Zdjęcia powinny obejmować przód twarzy, profil prawy i lewy oraz uśmiech. Dodatkowo, jeśli masz dostępny plan leczenia przygotowany przez swojego dotychczasowego stomatologa, również byłby nam bardzo przydatny.

Jeśli pochodzisz z kraju, z którego do Polski wymagana jest wiza lub paszport, pamiętaj o odpowiednim przygotowaniu tych dokumentów przed podróżą. Ostateczna odpowiedzialność za spełnienie wymogów wizowych i celnych leży po stronie podróżującego.

Dokumentacja medyczna i komunikacja z Pacjentem

Po otrzymaniu wszystkich dostępnych informacji dotyczących Twojego dotychczasowego leczenia stomatologicznego, dostarczonych zdjęć oraz planowanych zabiegów, dokładnie analizujemy te materiały i tworzymy optymalny plan leczenia. Następnie przedstawiamy go Pacjentowi, informując o przewidywanych kosztach oraz przybliżonym czasie trwania całego procesu leczenia.

Po akceptacji wstępnego planu leczenia możemy rozpocząć organizację podróży. Komunikacja między naszą placówką a Pacjentem odbywa się telefonicznie lub mailowo. W miarę potrzeby możemy także zorganizować spotkanie online, podczas którego odpowiemy na wszelkie pytania i rozwiejemy ewentualne wątpliwości Pacjenta.
img-1

Concierge Medyczny - Opiekun Pacjenta Zagranicznego

Żeby jeszcze bardziej ułatwić Ci organizację leczenia stomatologicznego w Polsce, nasz Opiekun Pacjenta pozostanie w stałym kontakcie z Tobą. Będzie Ci pomagać w procesie procedur, organizacji podróży, a po przybyciu do naszego centrum stomatologii – będzie nadzorował Twój plan leczenia.

Skontaktuj się z Opiekunem Pacjenta, jeśli masz więcej pytań dotyczących sposobu organizacji leczenia stomatologicznego w klinice stomatologicznej Galeria Uśmiechu.

Bezpieczeństwo i gwarancja

Jeśli jesteś ubezpieczony za granicą i posiadasz   prawo do zwrotu kosztów leczenia stomatologicznego, dostarczymy Ci kompletną dokumentację spełniającą wymagania Twojego ubezpieczyciela. Wspieramy Cię w procesie rozliczenia z Twoją firmą ubezpieczeniową.

Ponadto, istnieje możliwość ubezpieczenia się w Polsce poprzez współpracujacą z Estetique Wrocław firmę ubezpieczeniową [link]. Nasz Opiekun Pacjenta służy pomocą i przeprowadzi Cię przez wszystkie niezbędne procedury.

Podmiot leczniczy udziela 2-letniej gwarancji jakości na wykonane leczenie na następujących warunkach:

  1. warunki przysługiwania uprawnień z tytułu gwarancji obejmują:
  2. odbywanie przez pacjenta regularnych wizyt kontrolnych i higienizacyjnych, na które pacjent ma obowiązek zgłosić się do zakładu leczniczego, który wykonał usługę, w terminach zaleconych przez lekarza, nie dłuższych niż co 12 miesięcy;
  3. przestrzeganie przez pacjenta wszystkich zaleceń lekarzy;
  4. zachowanie przez pacjenta prawidłowej higieny jamy ustnej; nieprzestrzeganie przez pacjenta któregokolwiek z ww. warunków skutkuje utratą uprawnień z tytułu gwarancji jakości – o ile nastąpiło z przyczyn nie leżących po stronie podmiotu leczniczego;
  5. gwarancji nie podlegają usługi wykonane u pacjentów, u których występują:
  6. zaburzenia narządu żucia,
  7. naturalne zaniki kości, c. choroby przyzębia,
  8. niewyleczone ubytki próchnicowe oraz braki zębowe, które mogą mieć pośredni lub bezpośredni wpływ na trwałość wykonanej usługi;
  9. gwarancja nie obejmuje:
  10. uszkodzeń nie wynikających z wykonanej usługi;
  11. usługi, jeżeli pacjent nie stosował się do zaleceń lekarza;
  12. wypełnień tymczasowych; d. kosztów dojazdu do gabinetu poniesionych przez pacjenta.

Nasi doświadczeni lekarze ciągle doskonalą swoje umiejętności, aby zapewnić naszym Pacjentom leczenie na najwyższym poziomie. Wykorzystują nowoczesny sprzęt oraz najnowsze technologie, które zapewniają komfort i bezpieczeństwo podczas leczenia.

Jeśli obawiasz się, czy po zakończonym zabiegu będziesz mógł spokojnie zwiedzać urokliwe miejsca w Polsce, nie martw się. Jesteśmy nadal dostępni dla Ciebie.

Po powrocie dokraju zamieszkania, wciąż jesteśmy z Tobą. Dbamy o Twój komfort i zdrowie. Dlatego zalecamy regularne wizyty kontrolne, podczas których dokładnie ocenimy stan Twoich zębów i proces gojenia, aby upewnić się, że leczenie przebiega zgodnie z planem.

Dental Travel Poland - Metamorfozy pacjentów

Metamorfoza - bonding

PRZED PO

Estetyczna odbudowa zębów  w odcinku przednim za pomocą bondingu. W efekcie uzyskaliśmy piękny, biały uśmiech oraz idealny kształt zębów.

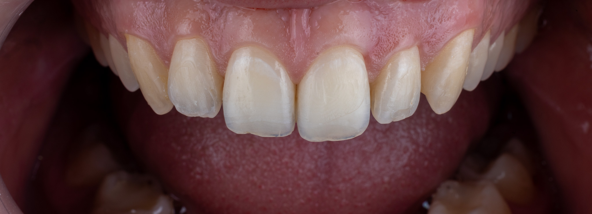
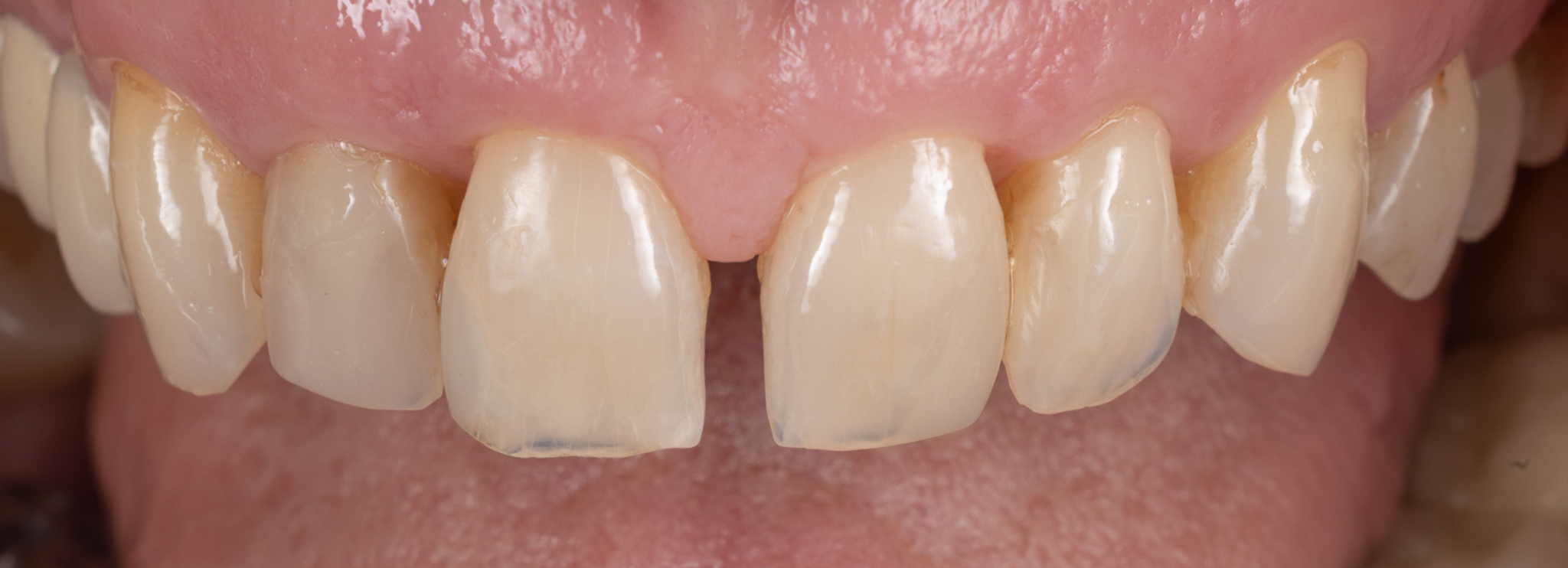
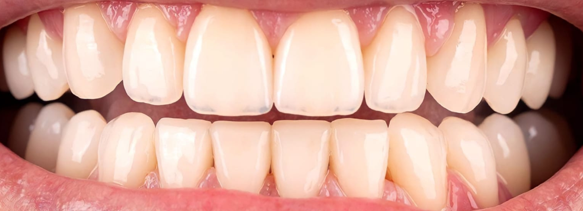
Metamorfoza - licówki pełnoceramiczne

PRZED PO

Zamknięcie diastemy oraz poprawa koloru i kształtu zębów z wykorzystaniem licówek pełnoceramicznych. 

Metamorfoza - licówki pełnoceramiczne

PRZED PO

Dzięki zastosowaniu licówek pełnoceramicznych u pacjentki poprawiono kształt oraz kolor zębów.  

Metamorfoza - licówki pełnoceramiczne

PRZED PO

Poprawa koloru i kształtu mocno przebarwionych zębów w łuku górnym i dolnym z wykorzystaniem licówek pełnoceramicznych. 

Metamorfoza - licówki pełnoceramiczne

PRZED PO

Estetyczna odbudowa zębów w łuku górnym z wykorzystaniem licówek pełnoceramicznych.

Metamorfoza - licówki pełnoceramiczne

PRZED PO

Pacjentka z problemem tzw. małozębia, u której poprawiono estetycznie zęby w łuku górnym za pomocą licówek pełnoceramicznych.

Metamorfoza - licówki pełnoceramiczne

PRZED PO

Korekta dziąseł oraz poprawa koloru i kształtu zębów z wykorzystaniem licówek pełnoceramicznych. 

Metamorfoza - licówki pełnoceramiczne

PRZED PO

Poprawa estetyki w łuku górnym za pomocą licówek pełnoceramicznych. 

Metamorfoza - licówki pełnoceramiczne

PRZED PO

Odbudowa startych zębów za pomocą licówek pełnoceramicznych, dzięki którym uzyskano naturalny kolor i kształt zębów.  

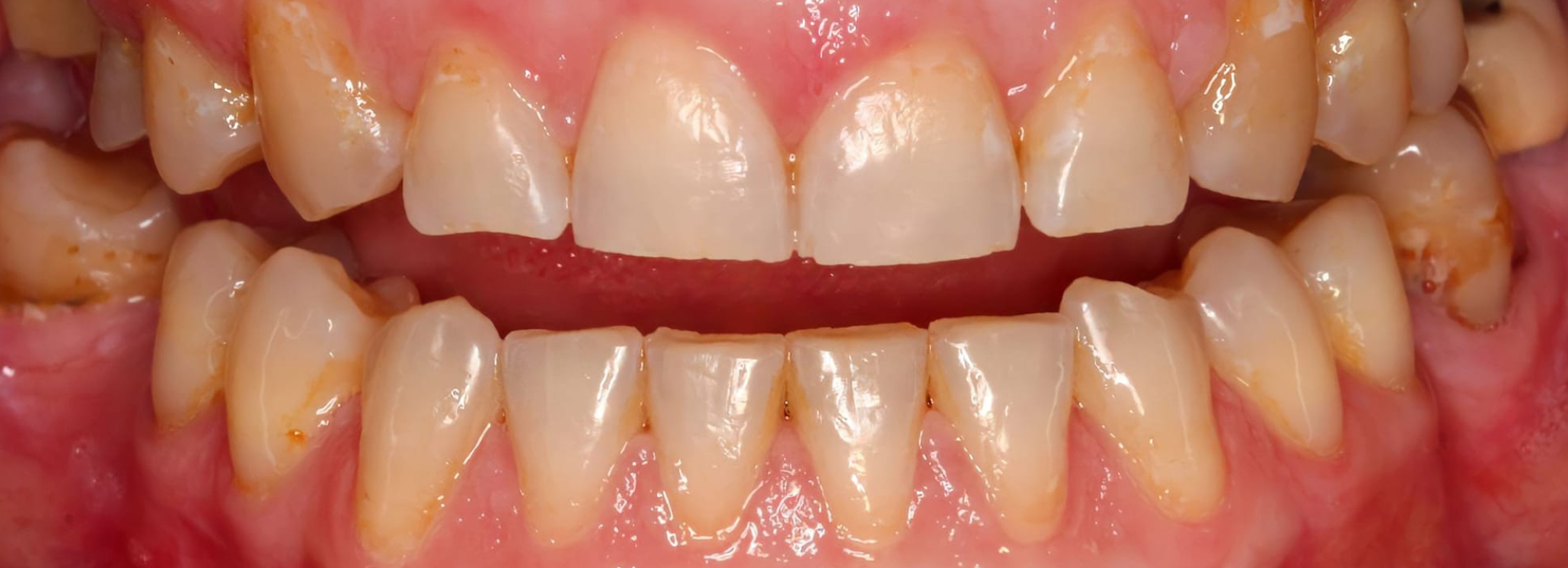
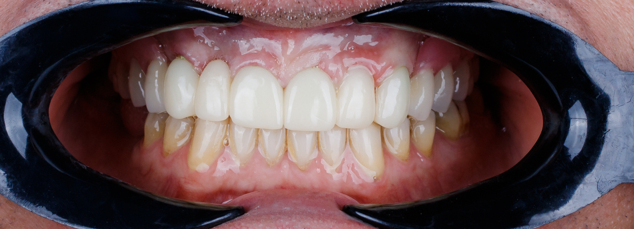
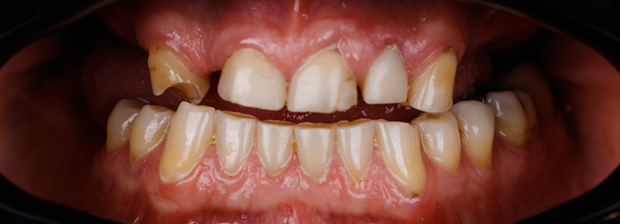
Metamorfoza - korony porcelanowe

PRZED PO

U pacjenta uzupełniono braki zębowe w górnym łuku poprzez wykonanie mostu protetycznego oraz protezy szkieletowej bezklamrowej. 

Dental Travel Poland - lekarze

W Centrum Galeria Uśmiechu zapewniamy kompleksową opiekę stomatologiczną dla dzieci, dorosłych i seniorów.

img-22

Susan Abassy

Stomatologia zachowawcza
Endodoncja mikroskopowa

img-25

Łukasz Jarmuła

Endodoncja mikroskopowa
Stomatologia estetyczna
Protetyka

img-28

Magdalena Gruszczyńska

Stomatologia zachowawcza
Endodoncja mikroskopowa
Stomatologia estetyczna

img-31

Sergiusz Połuchtowicz-Hański

Chirurgia Stomatologiczna
Mikrochirurgia
Implantologia

img-34

Katarzyna Załęska

Stomatologia cyfrowa
Stomatologia estetyczna
Protetyka
Implantoprotetyka

img-37

Ewa Kusiba-Foryt

Stomatologia zachowawcza
Medycyna Estetyczna

img-40

Sylwia Czajkowska

Higienistka
Asystentka Stomatologiczna

Opinie naszych Pacjentów

Zawsze stawiamy na jakość, co doceniają nasi Pacjenci.

Sylwia Paluch
opinie google
Bardzo polecam Galerię Uśmiechu, korzystam z różnych usług tej placówki i czuję profesjonalizm i wyższą jakość usług niż u dotychczasowych stomatologów i ortodontów u których byłam.
M S
opinie google
Wraz z mezem korzystaliśmy z usług Galerii Usmiechu może dwa lata. Oczywiście klinika oferuje pełen profesjonalizm, który kosztuje dużo pieniędzy. Raz mieliśmy z mezem sytaucje, gdzie on umówimy na 3 godziny plus wpłacony depozyt na 3 godziny wyszedł z gabinetu po godzinie z nieskończonymi zębami. Poza tym bardzo miła obsługa na recepcji.
Hubert Bosak
opinie google
Miło. Ładnie. Super dla dzieci. jedną Pani zabawia malucha a druga leczy zeby. Na koniec darmowa zabawka i dzieciak kupiony. Ja chodze tu z czterolatkiem i nie robi problemu żeby wrócić na następną wizyte. Dodatkowo jest mikro kącik zabaw, więc jeśli jesteś wcześniej to nie problem. Pod budynkiem jest parking na bloczki. 1.5h gratis i zawsze wolne miejsca. Jeśliczki zapomniałeś umyć zęby nic nie szkodzi w toalecie jest zapas szczoteczek wraz z pastą.
Edyta Linkiewicz
opinie google
Pełen profesjonalizm, a przy tym niemal rodzinna atmosfera. Polecam. Przy jakiejkolwiek "awarii" zawsze otrzymałam natychmiastową pomoc.
Robert Koscielski
opinie google
Gdybym miał więcej osemek do wyrwania to na pewno bym wrócił do Galerii Uśmiechu. Dr Emil niezwykle profesjonalny chirurg. Przed zabiegiem wszystko wytłumaczył a sam zabieg poszedł sprawnie mimo trudnego do wyrwania zęba. Ceny wyższe niż u konkurencji ale za bezbolesne i miłe leczenie byłem na to gotowy. Centrum miasta, darnowy parking na czas wizyty, aparat do zdjęć uzębienia na miejscu.
Agata Jagiełka
opinie google
W Galerii Uśmiechu byłam na zabiegu pełnej higienizacji, który wykonała Pani Joanna Maj -Gospodarczyk. Pani Joanna zabieg wykonała bardzo dokładnie i przede wszystkim bezboleśnie. Na 5 oceniam wysoki standard wykonanej usługi oraz wyposażenie gabinetu. Z przyjemnością wrócę do tego miejsca.

Jeśli masz dodatkowe pytania, zapraszamy do kontaktu.

Turystyka stomatologiczna – podróż po zdrowy uśmiech

Turystyka stomatologiczna zyskuje coraz większą popularność na całym świecie, w tym także w naszym kraju. Zastanawiasz się, dlaczego? Odkryj korzyści tej opcji i dowiedz się, jak może ona przyczynić się do uzyskania pięknego uśmiechu. Zapoznaj się z ofertą Galerii Uśmiechu w Krakowie.

Turystyka stomatologiczna – czym jest?

Turystyka stomatologiczna stanowi integralną część rozwijającej się turystyki medycznej w Krakowie. Polega ona na podróżowaniu poza swoje miejsce zamieszkania w celu korzystania z usług stomatologicznych. Z różnych powodów, takich jak oszczędności, dostęp do specjalistycznych usług lub łączenie leczenia z urlopem, coraz więcej osób wybiera to rozwiązanie. Dlaczego warto zastanowić się nad taką opcją? Oto kilka odpowiedzi.

Oszczędność i wysoka jakość leczenia

Turystyka medyczna w Polsce zapewnia znaczne oszczędności finansowe, zwłaszcza dla pacjentów pochodzących z krajów zachodnich. Dzięki turystyce medycznej uzyskujesz dostęp do usług stomatologicznych o najwyższej jakości, a koszty są znacznie niższe niż w Twoim kraju. To właśnie w Polsce masz szansę na pełną metamorfozę swojego uśmiechu, i to za atrakcyjną cenę. Oferowane usługi stomatologiczne osiągają światowy poziom, a specjaliści posiadają bogate doświadczenie. Wybierając tę opcję i korzystając z oferty Galerii Uśmiechu, masz również możliwość zwiedzenia malowniczego Krakowa. 

Turystyka medyczna Kraków – profesjonalna opieka i nowoczesne technologie

Galeria Uśmiechu korzysta z nowoczesnego sprzętu oraz stosuje metody leczenia zgodne z międzynarodowymi standardami. W naszym centrum w Krakowie oferujemy usługę Concierge Medyczny, czyli opiekuna, który pomoże Ci zorganizować cały proces leczenia. To ułatwienie może znacząco usprawnić Twoją podróż i pobyt w Polsce. Opiekun pacjenta towarzyszy Ci na każdym etapie leczenia, zapewniając wsparcie i komfort.

Kompleksowa opieka – od konsultacji po rekonwalescencję

Turystyka stomatologiczna rozpoczyna się od skontaktowania się z naszą kliniką stomatologiczną i dostarczenia oczekiwań oraz dokumentacji medycznej. Ekspert przygotowuje wstępny plan leczenia, który można zaakceptować drogą mailową lub telefoniczną. Renomowane kliniki stomatologiczne, takie jak Galeria Uśmiechu, przykładają szczególną wagę do indywidualnych potrzeb pacjenta. Proponują one spersonalizowane plany leczenia oraz zapewniają wsparcie na każdym etapie procesu, począwszy od pierwszej konsultacji, aż do okresu rekonwalescencji.

Język i komunikacja

W przypadku turystyki stomatologicznej istnieje kluczowa potrzeba komunikacji w języku obcym. Wiele polskich centrów stomatologicznych zatrudnia personel posługujący się wieloma językami, co może znacznie ułatwić proces komunikacji oraz zrozumienie procedur leczenia.

Turystyka medyczna w Krakowie – podsumowanie

Turystyka stomatologiczna w Polsce otwiera nowe możliwości dla osób, które pragną połączyć wysoką jakość opieki stomatologicznej z możliwością odkrywania uroków kraju. Wybierając tę opcję, nie tylko możesz skorzystać z profesjonalnej opieki stomatologicznej w przystępnej cenie, ale także wzbogacić swoje życie poprzez podróżowanie i poznawanie nowej kultury. Świadome zrozumienie swoich potrzeb i oczekiwań, a także staranne planowanie podróży, może uczynić turystykę medyczną w Krakowie nie tylko mądrym wyborem zdrowotnym, ale także niezapomnianą przygodą.

Kontakt